Leistungen

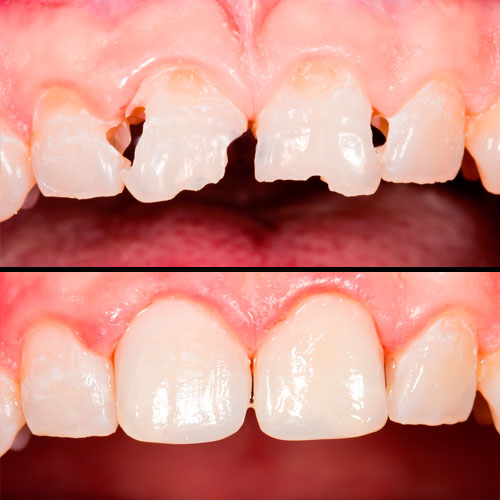
Ausstrahlung, Selbstbewusstsein und Lebensqualität sind oft stark von unserem äußeren Erscheinungsbild abhängig. Da schöne Zähne damit entscheidend zu Wohlbefinden und Attraktivität eines Menschen beitragen, spielt die ästhetische Zahnheilkunde in unserer Praxis eine wichtige Rolle. Gesunde, schöne Zähne gelten als Ausdruck von Vitalität.
Lassen Sie sich von unserem vielseitigen Leistungsspektrum überzeugen.

jetzt termin vereinbaren

Vereinbaren Sie jetzt telefonisch einen Termin für eine Erstberatung.

+49 5205 31 72